Dr. Vassilis Chantziaras (a) & Dr. Aldi Mehmeti(b)
a) Blaise Veterinary Referral Hospital, Birmingham, B45 9UA
b) Pawionic, 3 Centenary Sq, Birmingham, B1 2DR
Carpal hyperextension is a relatively common injury of the wrist joint in dogs. It could be the result of an acute traumatic injury (i.e. jumping from a high wall and landing on the forelimbs) or the outcome of a progressive degeneration of the supportive structures of the wrist joint.
Whilst the anatomy of the dog carpus (wrist joint) has many similarities with humans, one of the main differences is that the maximum range of motion of extension is approximately 10 degrees (Figure 1 (a)) compared to 60-70 degrees in humans. This is due to advanced soft tissue support in the palmar (back) region of the foot, mainly consisting of fibrocartilage and various ligaments and tendons (Figure 1 (b)). The carpus is a complex joint that allows hinge (up down/in out bend and stretch) and pivot (rotation) movements and consists of three joint levels (Figure 1 (c)): the antebrachiocarpal joint (top – blue colour), the middle carpal (middle – red colour) and the carpometacarpal (bottom – green colour) joints. Disruption to the soft tissue supporting structures can occur at any joint level and allows a higher angle of extension due to joint instability, which can lead to further soft tissue damage around the joint, initiate the development of osteoarthritis and be responsible for persistent discomfort and lameness if left unmanaged.

Figure 1
Due to the complexity of the carpal anatomy and the nature and extent of the hyperextension injury, primary surgical reconstruction of the affected structures is not possible. Conservative management involves appropriate long-term analgesia, weight control and exercise moderation; commercial or 3D-printed custom-made limb braces can also assist in providing a more comfortable limb use during weight-bearing.
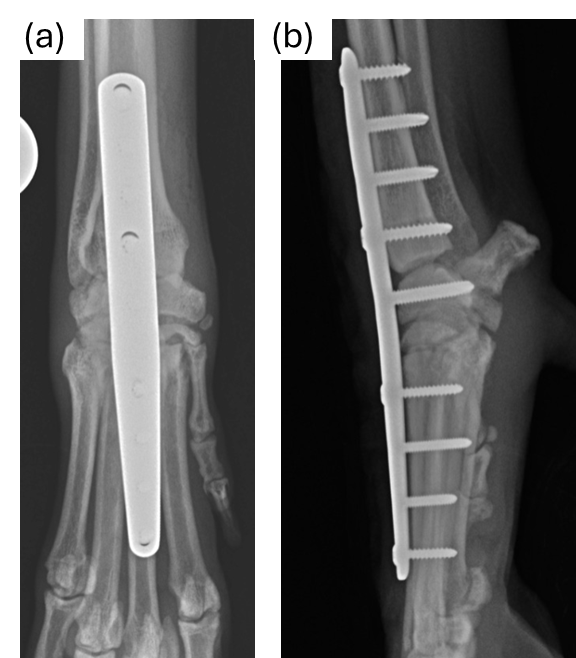
Alternatively, surgery is usually the most recommended management option and involves a salvage procedure of the affected carpus named ‘arthrodesis’, which means ‘joint fusion’, and it can be partial (only some of the joint fused) or complete (the whole joint is fused). The articular cartilage is burred away, bone graft is applied to the joint gaps and the wrist joint is bridged with an anatomic-specific bone plate and screws to provide stability (Figure 2) until the gaps are filled with new bone. Whilst the wrist joint is no longer functional, dogs adapt very well to this change by altering the way they use the limb (i.e. more elbow flexion, shoulder circumduction) and the clinical outcome is usually very good. However, arthrodesis is a particularly technical and demanding surgical procedure and complications may develop that could lead to a less optimal outcome. Therefore, a careful assessment by an orthopaedic specialist is recommended to allow the right decision-making regarding the appropriate management options.

Figure 2: Radiographic images of Anatomic-specific bone plate and screws, (a) Top view and (b) side view.
Forelimb amputees have in theory a higher risk of developing degenerative carpal hyperextension, because of the increased stress applied to the intact limb during weight-bearing and the extra work required to carry the weight generated by the head and thorax. Given no surgery comes without the risk of developing complications, conservative management, including the use of a custom-made brace, could be considered in the first instance. Pawionic would be highly recommended to undertake the design and development of custom-made braces and limb exoprosthesis that could support you and your dog. Providing bespoke specialised solutions and expert support during the initial period of training to use the custom-made device.
Special Solutions for Vets
At Pawionic, we also cater to the needs of veterinary professionals. Dr. Mehmeti’s expertise in reverse engineering and advanced mechanical engineering has led to the development of custom surgical guides, bone structures, and other surgical equipment. These solutions enable orthopaedic surgeons to perform their tasks with higher precision and efficiency, ultimately enhancing patient care.
Join the Pawionic Revolution
Pawionic is passionately advancing pet healthcare by blending state-of-the-art technology with deep veterinary expertise. We are committed to transforming lives by addressing serious health issues in our beloved family members and enhancing the quality of life for pets and their owners.
Whether you’re a pet owner in need of a custom-fit prosthetic or a veterinarian seeking precise surgical solutions, Pawionic is here to help. Our products are meticulously crafted to meet individual needs, ensuring that every pet can live a happy, healthy, and active life.
Contact Us
Need help for your pet? Email us for a free consultation.
Pawionic
3 Centenary Sq, Birmingham B1 2DR
Email: info@pawionic.com
www.pawionic.com